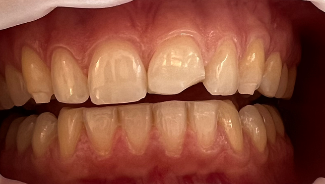
Un angle de dent cassé est une situation fréquente qui peut survenir à tout âge. Une chute, un choc, une mastication trop appuyée ou encore une dent fragilisée par une carie ancienne peuvent suffire à provoquer une fracture partielle. À Marseille, de nombreux patients consultent avec une inquiétude légitime : une dent cassée implique-t-elle forcément une extraction ou la pose d’une facette dentaire ?
La bonne nouvelle est que, dans de nombreux cas, il existe des solutions conservatrices permettant de réparer un angle de dent cassé tout en préservant la dent naturelle. Comprendre les causes, les solutions possibles et l’importance d’une prise en charge rapide permet d’éviter des traitements plus lourds.
Pourquoi un angle de dent peut-il se casser ?
Une fracture dentaire survient rarement par hasard. Elle est souvent la conséquence d’une fragilisation progressive de la dent. Les traumatismes directs, comme une chute ou un coup, sont des causes évidentes, mais ils ne sont pas les seules. Le bruxisme, qui correspond au grincement ou au serrement des dents, exerce des contraintes importantes sur l’émail et peut entraîner des fissures invisibles à l’œil nu.
Les caries anciennes ou les restaurations défectueuses affaiblissent également la structure de la dent. Avec le temps, celle-ci devient plus vulnérable et peut se fracturer lors d’un effort banal, comme croquer dans un aliment dur.
Faut-il toujours extraire une dent cassée ?
Contrairement à une idée répandue, une dent cassée n’est pas systématiquement vouée à l’extraction. L’extraction est envisagée uniquement lorsque la dent est trop délabrée ou lorsque la fracture s’étend profondément sous la gencive, rendant toute restauration impossible.
Dans la majorité des cas, notamment lorsque seule une partie de la dent est touchée, la dent peut être conservée. La dentisterie moderne privilégie toujours une approche conservatrice, visant à préserver la dent naturelle chaque fois que cela est possible.
La réparation au composite : une solution sans facette
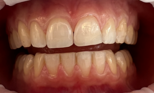
Lorsqu’un angle de dent est cassé de manière limitée, la restauration directe au composite constitue une solution de choix. Le composite est un matériau esthétique appliqué directement sur la dent afin de reconstituer la partie manquante. Cette technique permet de restaurer la forme, la couleur et la fonction de la dent sans avoir à la tailler de manière importante.
Contrairement aux facettes dentaires, qui nécessitent une préparation plus invasive, le composite respecte davantage la structure naturelle de la dent. Le résultat est immédiat, discret et fonctionnel, ce qui en fait une solution très appréciée pour les dents visibles.
Durabilité et entretien d’une réparation dentaire
Une réparation au composite peut durer plusieurs années si elle est bien réalisée et correctement entretenue. Une bonne hygiène bucco-dentaire, des contrôles réguliers et la prise en compte des facteurs de risque comme le bruxisme contribuent à la longévité de la restauration.
Une prise en charge rapide après la fracture augmente également les chances de conserver une solution simple et durable.
Réparer une dent cassée au cabinet dentaire Artemis à Marseille
À Marseille, le cabinet dentaire Artemis propose une prise en charge personnalisée des dents cassées, en privilégiant systématiquement les solutions conservatrices lorsque la situation le permet. Chaque patient bénéficie d’un examen clinique approfondi afin d’évaluer l’étendue de la fracture, l’état de la dent et les possibilités de réparation sans extraction ni facette.
Le cabinet met l’accent sur des restaurations esthétiques et fonctionnelles, adaptées aux besoins spécifiques de chaque patient. L’objectif est clair : préserver la dent naturelle, restaurer le sourire et assurer un confort durable au quotidien.
Une approche sur mesure pour chaque situation
Chaque fracture dentaire est différente. C’est pourquoi le cabinet Artemis à Marseille adopte une approche individualisée, tenant compte de la localisation de la dent, des contraintes de mastication et des attentes esthétiques du patient. Lorsque la restauration au composite est indiquée, elle est réalisée avec précision afin d’obtenir un rendu naturel et harmonieux.
Dans les cas où une solution plus protectrice est nécessaire, le patient est accompagné et informé de manière transparente sur les différentes options possibles.
Pourquoi consulter rapidement au cabinet Artemis ?
Consulter rapidement après une fracture dentaire permet souvent d’éviter des soins plus lourds. Une prise en charge précoce augmente les chances de réparer la dent de manière simple et conservatrice.
Le cabinet dentaire Artemis, situé à Marseille, accueille les patients souhaitant un diagnostic clair et des solutions adaptées, dans le respect de leur santé bucco-dentaire.
Pour en savoir plus ou prendre rendez-vous, consultez le site officiel du cabinet :
https://www.artem-rosovetskyy.fr/
En résumé
Un angle de dent cassé ne nécessite pas systématiquement une extraction ou la pose d’une facette. Dans de nombreux cas, une réparation au composite permet de restaurer efficacement la dent tout en préservant sa structure naturelle. À Marseille, une consultation rapide est essentielle pour bénéficier des solutions les plus conservatrices. Le cabinet dentaire Artemis accompagne ses patients avec une approche personnalisée, visant à restaurer le sourire tout en assurant un confort durable.
